カテゴリー:
【北区・荒川区で矯正治療】咬み合わせを整えて歯を守る|奥歯から失う原因とは?
ドクターブログ

こんにちは。北区にある豊島歯科医院です。
当院は荒川区との区境に位置し、都電荒川線「梶原駅」から通いやすい場所にあります。
「矯正を考えているけれど、本当に必要なのか分からない」
「見た目だけでなく、将来の歯の健康も気になる」
このような方に向けて、今回は“歯を守るための矯正治療”についてお話しします。
「8020運動」ってご存知ですか?
「80歳までに20本の歯を残そう」という取り組みで、長年日本で行われています。
実はこの8020を達成している方には、ある共通点があります。
それは「咬み合わせが安定している」ことです。
咬み合わせが悪いとどうなるのか?
反対に、
- 受け口(反対咬合)
- 出っ歯
- 前歯が咬み合わない(開咬)
といった咬み合わせの方は、歯を多く残せていないケースが多いことが分かっています。
ポイントは「前歯が働いているかどうか」
本来、歯は役割分担をしています。
- 前歯 → 咬み合わせをコントロールする
- 奥歯 → しっかり咬む
しかし咬み合わせが悪いと、前歯がうまく機能せず、奥歯だけで咬む状態になってしまいます。
奥歯に負担が集中するとどうなるか
奥歯に強い力がかかり続けることで、
- 歯が割れる
- 詰め物や被せ物が壊れる
- 歯周病が進行しやすくなる
- 最終的に歯を失う
といったリスクが高まります。
これはまさに「ドミノ倒し」のように進行していきます
実は重要な「前歯の役割」
口を横に動かしたり前に動かしたとき、前歯がうまく当たることで奥歯が自然に離れます。
これによって、奥歯にかかる余計な力を逃がしています。
つまり、前歯がしっかり機能していることが、歯を長持ちさせるカギになります。
北区・荒川区で矯正を検討されている方へ
当院には、北区・荒川区エリアから
- 矯正治療を検討している方
- 歯を失いインプラントを考えている方
- 歯周病、特に奥歯の進行が早い方
- 被せ物や詰め物が繰り返し壊れる方
といったさまざまなご相談があります。
そしてこれらの多くに共通しているのが、咬み合わせの問題です。
当院の矯正治療の考え方
当院では、「見た目が気になるから歯並びを治しましょう」という理由だけで矯正をおすすめすることはありません。私たちが大切にしているのは、歯を守るための矯正治療です。
そのため、さまざまな症状の患者様に対して
「まず咬み合わせを整えることが最も重要です」とお伝えしています。
矯正治療でできること
矯正治療によって、
- 前歯がしっかり機能する状態
- 奥歯に負担がかからない咬み合わせ
を作ることが可能です。
これにより、
- 歯が割れるリスクの軽減
- 歯周病の進行抑制
- 将来的な歯の喪失リスクの低減
といった効果が期待できます。
そして、奥歯は壊れてから治すより、壊れないように守ることの方がはるかに重要です。
矯正治療は、そのための大切な選択肢のひとつです。
矯正は「見た目」だけではありません
矯正というと見た目の改善をイメージされる方が多いですが、実際には「歯を長く守るための治療」でもあります。
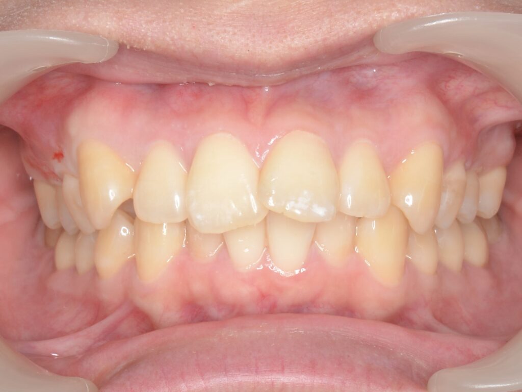
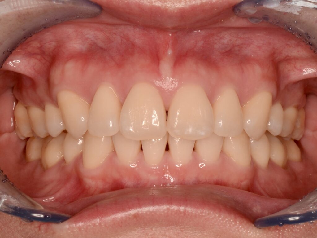
矯正治療の症例


まとめ|北区・荒川区で矯正・咬み合わせ治療をお探しの方へ
- 8020を達成している人は咬み合わせが良い
- 前歯が働かないと奥歯に負担が集中する
- その結果、歯を失いやすくなる
- 矯正治療でそのリスクを減らすことができる
「矯正が必要かどうか知りたい」
「咬み合わせに不安がある」
そのような方は、一度ご相談ください。
北区・荒川区で矯正治療や咬み合わせ治療をお探しの方、
都電荒川線「梶原駅」周辺で通いやすい歯科医院をお探しの方は、ぜひ一度ご相談ください。

